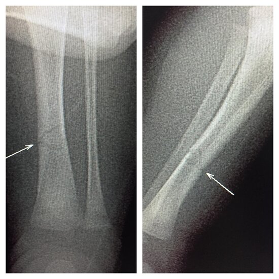
Bakıda 18 günlük körpənin qolu sındırıldı - FOTO
Bakıda 18 günlük körpənin qolu sınıb.
Lent.az-ın məlumatına görə, hadisə bir neçə gün əvvəl paytaxt ərazisində baş verib.
Məlumata əsasən, uşağın qolu 5 yaşlı bacısı tərəfindən ehtiyatsızlıqdan sındırılıb. Belə ki, o bilmədən əlindəki telefonu körpənin qoluna vurub və nəticədə uşağın qolu sınıb.
Dərhal körpə valideynləri tərəfindən özəl xəstəxanalardan birinə aparılıb. Müayinəsi davam etdirilir.

Sonxeber.az
Telegramda izləyin
Hadisə Baxılıb: 1542 Tarix: 20 dekabr 2021
Şikayətiniz varsa Whatsapp: 077 7125666
Facebookda Paylaş
Bu məşhur kafe və restoranlar cərimələndi - SİYAHI
Azərbaycan Respublikasının Qida Təhlükəsizliyi Agentliyi (AQTA) pandemiya dövrünün tələblərinə, bu sahədə müvafiq qanunvericiliyin icrasına, həmçinin yeni növ koronavirusun (COVID-19) profilaktikasına dair Nazirlər Kabinetinin Qərarı ilə təsdiq edilmiş metodiki göstərişlərin icrasına nəzarət məqsədil
11 sentyabr 2021Mingəçevirdə minik avtomobili kül oldu
Mingəçevir şəhərində "Mercedes" markalı minik avtomobilinin mühərrik hissəsində elektrik avadanlıqları yanıb. Fövqəladə Hallar Nazirliyindən -a verilən məlumata görə, avtomobilin qalan hissəsi yanğından mühafizə olunub. Yanğın yanğından mühafizə bölmələri tərəfindən söndürülüb
11 sentyabr 2021Samuxda FACİƏ - Körpə bacı-qardaş öldü
Samux rayonunda üç və iki yaşlı körpələr naməlum şəraitdə ölüb. xəbər verir ki, hadisə Qarayeri qəsəbəsində qeydə alınıb. Kənd sakinləri - 2018-ci il təvəllüdlü Nurəddin Əfqan oğlu Quliyevin və bacısı Ruqəyya Əfqan qızı Quliyevanın yaşadıqları evdə səhhətlərində problem yaranıb. Vəziyyətləri ağırlaşa
12 sentyabr 2021Rəşid Mahmudovun oğlu infarkt keçirdi - FOTO
Tibb Universitetinin dosenti, tanınmış ictimai xadim Rəşid Mahmudovun oğlu infarkt keçirib. Bununla bağlı görüntülər sosial şəbəkələrdə yayılıb. Bildirilib ki, Rəşid Mahmudovun oğlu xəstəxanaya yerləşdirilib və vəziyyəti ağırdır
12 sentyabr 2021Kranın dəmir qarmağı fəhlənin ölümünə səbəb oldu - FOTO
Salyan sakini bədbəxt hadisə nəticəsində ölüb. Məlumata görə, hadisə Şirvan şəhərinin "Qarasu OYL" şirkətinin podratçı təşkilatı olan "İlkin-N" firmasının sexində baş verib. Salyan rayonunun Qarabağlı kənd sakini, 1980-ci il təvəllüdlü Qurbanov Elman İsrail oğluna fəhlə işlədiyi sexd
17 sentyabr 2021SON DƏQİQƏ: Bakıda ağaclıq ərazi yanır
Bakıda ağaclıq ərazidə yanğın başlayıb. xəbər verir ki, Fövqəladə Hallar Nazirliyinin "112" qaynar telefon xəttinə paytaxtın Səbail rayonu ərazisində ağaclıq ərazidə yanğın olması barədə məlumat daxil olub. Məlumatla əlaqədar FHN-nin Dövlət Yanğından Mühafizə Xidmətinin yanğından mühafizə bölmələr
17 sentyabr 2021Gürcüstanda azərbaycanlıların "qızqaçırma"sı faciə ilə nəticələndi
Gürcüstanda azərbaycanlıların yaşadığı Marneuli rayonunda "qızqaçırma" faciə ilə nəticələnib. Hadisə Alqeti kəndində baş verib. Belə ki, qrup yoldaşı 23 yaşlı yerli sakini evlənmək məqsədi ilə qaçırmaq istəyib. Bu zaman avtomobil onun qarşısını kəsən qızın nənəsini vurub. Qadın yerindəcə keçinib
15 sentyabr 2021Balakəndə koronavirus xəstəsi saxlanıldı
Balakən Rayon Polis Şöbəsinin əməkdaşları tərəfindən keçirilən müvafiq tədbirlərlə aktiv koronavirus xəstəsi ictimai yerdə aşkarlanıb. DİN-in Mətbuat Xidmətinin Şəki regional qrupundan -a verilən məlumata görə, rayon sakini Sevcan Məmmədovaya ev şəraitində müalicə təyin edilməsinə baxmayaraq, sanitar-karanti
12 sentyabr 2021Azərbaycanda sevdiyi qızın ailəsinin "yox" dediyi gənc qollarını doğradı
Sumqayıtda 23 yaşlı oğlan özünə ülgüclə xəsarət yetirib. -ın əldə etdiyi məlumata görə, E.Aslanzadə adlı gəncin bu addımına səbəb sevdiyi qızın ailəsinin onun elçilərinə "yox" deməsi olub. Qolundan ağır xəsarət alan E.Aslanzadə xəstəxanaya yerləşdirilib. Faktla bağlı araşdırma aparılır
17 sentyabr 2021