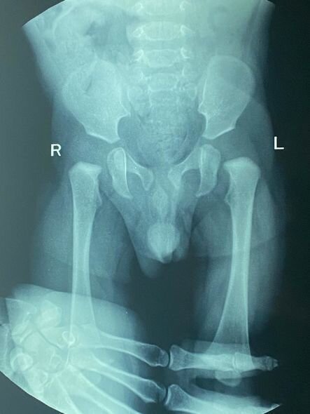
Körpə Zeydin müalicəyə ehtiyacı var: "Maddi cəhətdən tam tükənmişik" - FOTO
Doqquzaylıq Zeydin yardıma ehtiyacı var.
Bu barədə Oxu.Az-a onun anası Mira Pənahlı məlumat verib.
O bildirib ki, övladında anadangəlmə oynaq başcıqları formalaşmayıb.
"Zeyd doqquzaylıqdır. Anadan olanda onda oynaq başcıqlarının formalaşmadığını öyrəndik. İlk gündən də müalicələrə başlamışıq. Hazırda Zeyd xüsusi korset taxır. Müalicələrini bir müddət də davam etdirib, daha sonra əməliyyat olunacaq. Hazırda müalicələr üçün 800 manata ehtiyacımız var".
Mira Pənahlı Zeydin onun tək övladı olduğunu deyib.
"Zeyd bizim tək övladımızdır. İnanın, maddi cəhətdən əlimizdən gələn hər şeyi etməyə çalışırıq. Özümüz kirayədə yaşayırıq, yoldaşım isə fəhləlik edir. Yardımsevər şəxslərdən bizə dəstək olmaqlarını xahiş edirəm".
Ailə ilə əlaqə: (055) 443-59-41.
Bank Respublika: 4244 4848 4305 6726.






Sonxeber.az
Telegramda izləyin
Sosial Baxılıb: 442 Tarix: 06 mart 2024
Şikayətiniz varsa Whatsapp: 077 7125666
Facebookda Paylaş
19 yaşlı tələbə dərmandan zəhərləndi
Ağdamda 19 yaşlı tələbə dərmandan zəhərlənib. "Qafqazinfo"nun xəbərinə görə, hadisə rayonun Quzanlı qəsəbəsində baş verib. Tələbə Əliyeva Ayşən Qorxmaz qızı qəbul etdiyi dərman vasitəsindən zəhərlənib. O, Ağdam Rayon Mərkəzi Xəstəxanasına çatdırılıb, vəziyyəti orta ağır qiymətləndirilir. Qey
17 fevralŞəhidlər xiyabanında qeyri-etik videolar çəkən əcnəbilər azadlığa buraxıldı
Şəhidlər xiyabanında nalayiq hərəkətlər etməkdə təqsirləndirilən Səudiyyə Ərəbistanı vətəndaşları Alzaman Mahdi Ali, Alghabr Mohammad Hussain, Alghabr Mahdi Mohammad azadlığa buraxılıblar. -ın əldə etdiyi məlumata görə, onlar cəza müddətləri başa çatdığı üçün bu gün Bakı İstintaq Təcridxanasından aza
18 fevralAdil Əliyevə buna görə töhmət verilib
Xəbər verdiyimiz kimi, bu gün Bakı Şəhər İcra Hakimiyyətində keçirilən müşavirədə Suraxanı Rayon İcra Hakimiyyətinin başçısı Adil Əliyevə töhmət verilib. Trend-in əldə etdiyi məlumata görə, A.Əliyevə töhmət verilməsinə səbəb rayon ərazisində qanunsuz tikintilərin sayının çoxluğu olub. Belə ki, müşavirəd
17 fevralBu ərazilərdə su kəsiləcək - Xəbərdarlıq
Bəzi ərazilərdə su olmayacaq. xəbər verir ki, bu barədə İri Şəhərlərin Birləşmiş Su Təchizatı Xidməti məlumat yayıb. Bildirilib ki, Xətai rayonu, Rəşid Bağırov küçəsi 36 ünvanında üzərində fərdi yaşayış evi inşa olunduğuna görə diametri 500 mm olan magistral su xəttində baş vermiş qəzanın qarşısını alma
18 fevralXəzər sahilində suiti cəsədləri aşkarlandı (VİDEO)
Xəzərin sahilində suiti cəsədləri aşkarlanıb. Qaynarinfo xəbər verir ki, Xəzər dənizinin Azərbaycan sahillərində, Bilgəh qəsəbəsi yaxınlığında suitilərin ölümünə rast gəlinib. Mütəxəssislər bildirirlər ki, Xəzər dənizində ekosistemin müxtəlif səbəblərdən korlanması suitilərin tələfatına səbəb olur. Coğrafiy
18 fevralSabah güclü külək əsəcək - Xəbərdarlıq
Fevralın 19-da Bakıda və Abşeron yarımadasında, eyni zamanda bəzi bölgələrdə gözlənilən küləkli hava şəraiti ilə bağlı sarı və narıncı xəbərdarlıq verilib. xəbər verir ki, bu barədə Milli Hidrometeorologiya Xidməti məlumat yayıb. Zəngilan, Cəbrayıl, Ağdam, Laçın, Kəlbəcər, Daşkəsən, Gəncə, Goranboy
18 fevralBu ölkələrdə Ramazan ayı başladı
Hər il olduğu kimi, bu il də Ramazan ayının başlaması ilə bağlı dəqiq vaxt İslam dünyasında fikir ayrılıqlarına səbəb olub. "Qafqazinfo" xəbər verir ki, müqəddəs ay müxtəlif ölkələrdə iki fərqli tarixdə başlayır. Belə ki, Səudiyyə Ərəbistanı, Qətər, Birləşmiş Ərəb Əmirlikləri, Yəmən, Fələstin
18 fevralADSEA suyun qiyməti ilə bağlı Tarif Şurasına müraciət etdi (RƏSMİ)
"Su ehtiyatlarından səmərəli istifadəyə dair Milli Strategiya"nın təsdiq edilməsi haqqında Azərbaycan Respublikası Prezidentinin 10 oktyabr 2024-cü il tarixində imzaladığı Sərəncamda su ehtiyatlarının davamlı idarə olunması, maliyyə dayanıqlığının təmin edilməsi və su təhlükəsizliyinin gücləndirilməs
18 fevralAzərbaycanda şəxsi yazışmalar və "WhatsApp" izlənməsi ilə bağlı QƏRAR
Ali Məhkəmə "Şəxsiyyət hüquqlarının müdafiəsi haqqında" Plenum qərarında şəxsi yazışmaların toxunulmazlığı ilə bağlı məsələlərə dair yeni xüsusi mövqelər sərgiləyib. xəbər verir ki, bu barədə Ali Məhkəmə məlumat yayıb. Plenum qərarında qeyd edilir ki, bu hüquq hər kəsin yazışma, poçt, teleqra
18 fevral