Dünyada xəbərlər
Rus generaldan şok: Biz bacarmırıq...
Britaniya kəşfiyyatı o qədər güclü işləyir ki, Rusiya ordusu Ukraynada məcbur olaraq tez-tez mövqelərini dəyişməli olur. Bu isə indiki şərautdə bizə çox çətin başa gəlir. -a istinadən xəbər verir ki, bu fikirləri "Rossiya" kanalında yayımlanan "Vladimir Solovyovla axşam" verilişini
19 iyul 2022
Filin qazdığı çüxura baxan sakinlər DƏHŞƏTƏ GƏLDİ: Meşədə qəribə hadisə - FOTOlar
Tailandda meşəlik ərazidə sakinlər qəribə mənzərə müşahidə ediblər. -a istinadən xəbər verir ki, sakinlər filin çüxur qazdığını görəndə təəccübləniblər. Onlar çüxura baxanda heyrətə gəliblər. Məlum olub ki, filin balası çüxura düşdüyü üçün ana fil onu çıxarmağa cəhd göstərib. Sakinlər əraziyə müvafi
19 iyul 2022
Uçan taksilər istifadə oluna bilər - VİDEO
ABŞ-ın "Joby Aviation" şirkəti istehsal etdiyi uçan taksinin Böyük Britaniyada sertifikatlaşdırılması üçün müraciət edib. Şirkət 10 ildir ki beş nəfərlik elektrik hava taksisinin yaradılması üzərində işlədiyini bildirib. Onun maksimal sürəti 200 km/saat, uçuş məsafəsi təxminən 150 kilometrdir
19 iyul 2022
Məşhur aktrisa vəfat edib
Ukraynalı məşhur aktrisa və teleaparıcı Ruslana Pısanka ötən gecə 57 yaşında vəfat edib. -ə istinadən xəbər verir ki, aktrisa müharibə başlayandan sonra Almaniyaya gedib və həkimlər ona ağır xəstəlik diaqnozu qoyublar. O, filmlərdə çəkilməklə yanaşı, həm də "Ulduzlarla rəqs etmək", "Çəkil
19 iyul 2022
Saçı kürən insanların buna görə kinoteatra girişi pulsuz olacaq... - MARAQLI
"Açıq rəngli dərisi və saçı kürən insanlar Günəşə daha həssas olur. "Avropada iyulun ortasında rekord istilər müşahidə edilir, insanlar evlərini tərk etmək məcburiyyətindədir. "İspaniyada son günlər istidən 360 adam həyatını itirib. Britaniyanın "Showcase Cinemas" kinoteatrla
19 iyul 2022
Neyroşəbəkə robota yeriməyi öyrətdi
Berklidəki Kaliforniya Universitetinin alimləri robotlara müxtəlif vərdişləri öyrənməyə kömək edən neyron şəbəkə yaradıblar. Amerikalı mütəxəssislərin hazırladıqları "Dreamer" adlı neyroşəbəkə ətraf aləmin modelini qurmaq üçün robotun keçmiş təcrübəsindən istifadə edir. O, çox qısa müddət ərzind
19 iyul 2022
Dünyanın ən isti nöqtəsi AÇIQLANDI
İranın Əhvaz şəhəri dünyanın ən isti nöqtəsi seçilib. -a istinadən xəbər verir ki, NASA peykdən çəkilmiş görüntülər yayaraq İranın Əhvaz şəhərini 46,5 dərəcə hərarətlə dünyanın ən isti şəhəri olduğunu açıqlayıb. NASA-nın məlumatına görə, 2022-ci ilin yayında baş verən istilər dünyada rekorda imza atıb
19 iyul 2022
İran və Türkiyə arasında səkkiz sənəd imzalandı
Türkiyə-İran Yüksək Səviyyəli Əməkdaşlıq Şurasının 7-ci Toplantısından sonra sazişlərin imzalanma mərasimi olub. İran və Türkiyə arasında Tehranın Sadabad sarayında səkkiz sənəd imzalanıb. İmzalanma mərasimindən sonra Türkiyə Prezidenti Rəcəb Tayyib Ərdoğan iranlı həmkarı İbrahim Rəisini Konyada keçiriləcə
19 iyul 2022
Türkiyədə koronavirusa yoluxma artır: Qapanma olacaq?
Türkiyənin səhiyyə naziri Fəxrəddin Qoca ölkədə koronavirusa yoluxanların sayının getdikcə artdığına diqqət çəkib. Jurnalistlərin koronavirusa yoluxma ilə bağlı suallarını cavablandıran Qoca diqqətli olmağın vacibliyini vurğulayıb:. "Avropadakı dalğanı biz dörd-beş həftə əvvəl görməyə başladıq
19 iyul 2022
İrlandiyada rekord istilik qeydə alınıb
İrlandiya tarixində iyul ayında ən yüksək temperatur qeydə alınıb. Bazar ertəsi Dublində temperatur +33 dərəcəyə qalxıb. İrlandiyanın meteoroloji məlumatlarının tarixində yalnız bir dəfə daha isti temperatur qeydə alınıb ki, bu da 1887-ci ilin iyununda - cəmi 0,3 dərəcə yüksək olub. "Bu, əslind
19 iyul 2022
Rəisi Ərdoğanı rəsmi qarşıladı - Video
İranda səfərdə olan Türkiyə Prezidenti Rəcəb Tayyib Ərdoğan ölkə Prezidenti İbrahim Rəisi tərəfindən rəsmi qarşılanıb. "Qafqazinfo"ya istinadən xəbər verir ki, Ərdoğanın rəsmi qarşılanma mərasimi Sadabad sarayında baş tutub. Xatırladaq ki, Ərdoğan Tehranda Türkiyə-İran Yüksək Səviyyəli Əməkdaşlı
19 iyul 2022
Öldürücü istilər Avropanı cəhənnəmə çevirir
Avropada həddindən artıq istilər və dağıdıcı quraqlıqlar həmayrı-ayrı ölkələr, həm də turizm təşkilatları üçün sürətlə cəhənnəmə çevrilir. -ın -a istinadla xəbərinə görə, İspaniyada iyulun 10-dan bəri rekord dərəcədə isti hava dalğası nəticəsində 360-dan çox insan həyatını itirib, havanın temperatur
19 iyul 2022
Rusiya aktivlərini ən aktiv şəkildə bloklayan ölkələr BİLİNDİ
Rusiyanın Ukraynada hərbi əməliyyatları başlayandan Aİ təcavüzkar ölkənin 14 milyard avroya yaxın aktivlərini dondurub. Avropa Komissiyasının ədliyyə üzrə komissarı Didye Reynders Rusiyanın Avropa İttifaqında (Aİ) dondurulmuş aktivlərinin həcminə görə aparıcı ölkələri sadalayıb ki, bunlar arasında Almaniya
19 iyul 2022
Ərdoğan İrana getdi - FOTO
Türkiyə Prezidenti Rəcəb Tayyib Ərdoğan iranlı həmkarı İbrahim Rəisinin dəvəti ilə Tehrana rəsmi səfərə gedib. Dövlət başçısını paytaxtın Mehrabad Beynəlxalq Hava Limanında İranın rəsmi şəxsləri qarşılayıblar. Səfəri çərçivəsində Ərdoğan iyulun 19-da Türkiyə-İran Yüksək Səviyyəli Əməkdaşlıq Görüşünd
18 iyul 2022
Əkin sahələrini tırtıllar basıb – VİDEO
Türkiyə kənd təsərrüfatı sahəsində çalışanlar ciddi problemlə üzləşiblər. Belə ki, artıq bir neçə gündür Trakya bölgəsindəki əkin sahələrində görülən tırtıllar artıq ölkənin digər bölgələrinə də yayılıb. Mərmərədə ziyanvericilərin xüsusilə günəbaxan sahələrini istila etdiyi bildirilir. Hazırda tırtıllar
18 iyul 2022
Təyyarədə sərnişin öldü
"Azimut" şirkətinin İstanbuldan Mineralnıye Vodıya uçan təyyarəsi 64 yaşlı sərnişinin səhhəti ilə əlaqədar təcili olaraq Soçiyə eniş edib. Bu barədə Soçi hava limanının mətbuat xidməti xəbər verib. Yaşlı qadını müayinə edən həkimlər onun öldüyünü bildiriblər. Bildirilir ki, qadın əlil olu
18 iyul 2022
Türkiyə ordusuna PUA əleyhinə silah verildi
Kiçik ölçülü pilotsuz uçuş aparatları (mini və mikro PUA) ilə mübarizə sistemləri olan "Şahin" Türkiyə ordusuna təhvil verilib. Bu barədə Türkiyənin müdafiə sənayesi naziri İsmayıl Dəmir "Twitter" səhifəsində məlumat verib. 40 mm çaplı silah "Aselsan" konserni tərəfində
18 iyul 2022
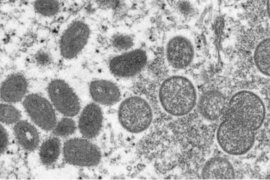
Meymunçiçəyinin yeni simptomu AÇIQLANDI
Şişmiş limfa düyünləri və ümumi intoksikasiya ilə əlaqəli boğaz ağrısı meymunçiçəyinin əlaməti ola bilər. Bunu Rusiyanın Profilaktik Tibb Mütəxəssisləri Cəmiyyətinin elmi direktoru, tibb elmləri doktoru, pediatr Sergey Tokarev deyib. O, qeyd edib ki, səpki, qızdırma kimi hallar da xəstəliyin başlıc
18 iyul 2022Arvadını Afrikaya aparıb 5 milyon dollar almaq üçün öldürdü - FOTO
ABŞ-ın Pensilvaniya ştatında varlı diş həkimi Lourens Rudolf həyat yoldaşı Byanka Rudolfu Afrikaya gəzintiyə aparıb və 5 milyon dollarlıq sığortaya xatir orada qətlə yetirib. BİG.AZ-a istinadən xəbər verir ki, bu barədə "CBS News" yazır. Hadisə 2016-cı ilin oktyabrında Zambiyayanın "Kafue"
18 iyul 2022
"Starlink" peykləri Rusiya raketlərinə görə 1700 dəfə manevr edib
"Starlink" peyk internetinin istehsalçısı "SpaceX" şirkəti Rusiyanın ötən il peyk əleyhinə raketi sınaqdan keçirməsindən sonra öz aparatlarını 1700 dəfə manevr etməli olduğunu açıqlayıb. Məlumata görə, bu sınağı zamanı Rusiya peykinin məhv edilməsi nəticəsində əmələ gələn zibil bulud
18 iyul 2022
İsti havaya görə 360 nəfər öldü
İspaniyada ötən həftə isti hava 360 nəfərin həyatına son qoyub. -ın xəbərinə görə, bu barədə II Karlos İnstitutu məlumat yayıb. Qeyd olunur ki, cümə günü temperatur 45 dərəcə Selsini keçdiyi üçün 123 nəfər dünyasını dəyişib. Əlverişsiz havaya görə ölənlərin əksəriyyəti yaşlı və xəstədir. Bəzi ərazilərind
18 iyul 2022
Təyyarələrin toqquşma anı-VİDEO
ABŞ-ın Las-Veqas şəhərindəki beynəlxalq aeroportda 2 təyyarə toqquşub. -ın xəbərinə görə, bu barədə Fox News məlumat yayıb. İlkin məlumata görə, təyyarədəkilərin hamısı həlak olub. Lakin ölənlərin dəqiq sayı bilinmir
18 iyul 2022
Arvadına güvənməyib DNT testi etdirdi - Başına gəlməyən iş qalmadı
Arvadının onu aldatdığını düşünən kişi DNT testi etdirərək nəticəsindən şoka düşüb. -a istinadən xəbər verir ki, İngiltərədə arvadının onu aldatdığını düşünən kişi DNT testi etdirməyə qərar verib. Testin nəticəsi ürəkaçan olmadığı üçün kişi boşanmaq qərarına gəlib, lakin qadın ərini aldatmadığını v
18 iyul 2022
"Google Play"in yeni loqosu görüntüləndi
ABŞ Patent və Ticarət Nişanları İdarəsinin veb-saytında "Google Play" Android proqramlar mağazası üçün yenilənmiş loqo yerləşdirilib. Köhnə və yeni loqolar arasında kardinal fərqlər yoxdur. O, yenə də əvvəllər olduğu kimi dörd rəngdən ibarət üçbucaq formasındadır: mavi, yaşıl, qırmızı və sarı
18 iyul 2022
Qonşu ölkədə vulkan püskürdü
Rusiyanın Kamçatka regionunda Şiveluç vulkanı yenidən püskürüb. -ın Rusiya FHN-ə istinadla məlumatına görə, bir neçə saat əvvəl Şiveluç vulkanının püskürməsi nəticəsindəkraterdən kül yüksəlib. Turistlərə vulkana yaxınlaşmamaaq tövsiyə olunub. Vulkanın yaxınlığında heç bir yaşayış məntəqəsi yoxdur. Dəni
18 iyul 2022
Cennifer Lopez gizli görün kimlə evləndi?
Cennifer Lopez və Ben Afflek gizli şəkildə evləniblər. Bu barədə xarici media mövcud məhkəmə sənədlərinə istinadən xəbər yayıb. Məlumata görə, cütlük Nevada ştatının Klark dairəsindəki məhkəmədən nikah şəhadətnaməsi alıb. Burada həyat yoldaşlarının rəsmi adları var - Benjamin Qeza Afflek və Cennife
18 iyul 2022
Ərdoğan İsveç və Finlandiyaya xəbərdarlıq etdi
Türkiyə prezidenti Rəcəb Tayyib Ərdoğanın rəhbərliyilə ölkənin Nazirlər Kabinetinin iclası keçirilib. Toplantıdan sonra dövlət başçısı mətbuata açıqlamlar verib. O, NATO-nun Madrid Sammitində təşkilata üzv olmaq üçün İsveç və Finlandiya ilə Türkiyə arasında əldə olunan razılaşmaları xatırladaraq bu ölkələr
18 iyul 2022
Trampın əfv etdiyi reper yenidən həbs edildi
ABŞ-ın keçmiş prezidenti Donald Tramp tərəfindən əfv edilən reper Kodak Blek yenidən ABŞ-ın Florida ştatında həbs edilib. Məlumata görə, polis onun avtomobilini yoxlamaq üçün saxlayıb. Yoxlama zamanı məlum olub ki, musiqiçinin sürücülük vəsiqəsinin və avtomobilin sənədlərinin müddəti bitib. Şüşələr
18 iyul 2022
Rusiyada robot yolu qırmızı işıqda keçdi - VİDEO
Moskvada robot avtomobil yolunu qırmızı işıqda keçib. Görüntünü yerli sakinlərdən biri qeydə alıb. Hadisə paytaxtın Maryino rayonunda baş verib. Robotun çatdırılma xidməti göstərdiyi bildirilib. Yolda avtomobil olmadığından hadisə qəzasız ötüşüb. jwplayer "mediaspace_176611829710959472086944d399a63ab.setup"flashplayer"
18 iyul 2022
Meymunçiçəyinə qarşı peyvənd üçün növbə yarandı
Nyu-Yorkda meymunçiçəyinə qarşı peyvənd olunmaq istəyənlərin uzun növbəsi yaranıb. -ın "Le Matin" saytına istinadla xəbərinə görə, peyvəndləmə mərkəzlərində sıxlıq kifayət qədər ciddidir. Ötən gün cəmi 7 dəqiqə ərzində 9200 nəfər onlayn növbə götürüb. Artıq 21 500 doza vaksin vurulub. Peyvən
18 iyul 2022
"Qalatasaray"dan gecə yarısı İkardi AÇIQLAMASI
"Pulu stolun üstünə qoydum, dedim ki, nə qədər qızıl varsa, götür"
Meyiti tapılan Müşfiq vaxtsız ölən əmisinin adını daşıyırmış - Fotolar
"Azərbaycan tarixində ən böyük amnistiya aktı gözlənilir" - AÇIQLAMA
Tanınmış qiraətçi Nadir Hüseynovun ölümü ilə bağlı yeni detallar məlum oldu (YENİLƏNİB)
Gənc alimin ehtiyatsızlığına görə dünya ən qədim ağacını itirdi - 5 min yaşı var idi
Müştəriləri aldadan şadlıq sarayı Xəlil Göyüşovun imiş
Prezident bu şəxsləri təltif etdi (SİYAHI)
"Amnistiya aktı ölkəmizdə insan hüquq və azadlıqlarının təmin edilməsi dövlət siyasətinin əsas istiqamətlərindən biridir" - Deputat
Bakıdakı şadlıq sarayı istehlakçıları aldadırmış - Nöqsanlar aşkarlandı+Fotolar
13 nömrəli avtobus niyə gecikir? - RƏSMİ AÇIQLAMA
Nazirdən iki təyinat
Həyat yoldaşından boşanmaq üçün TV proqramına müraciət edən qadın estetiklərlə yeni biri oldu!
Ölkə başçısının növbəti humanist addımı
Piroq vitrini siçan tərəfindən zəbt olundu: görüntülər sosial mediada gündəm oldu - VİDEO
