Qadının sidik kisəsindən stəkan çıxarıldı
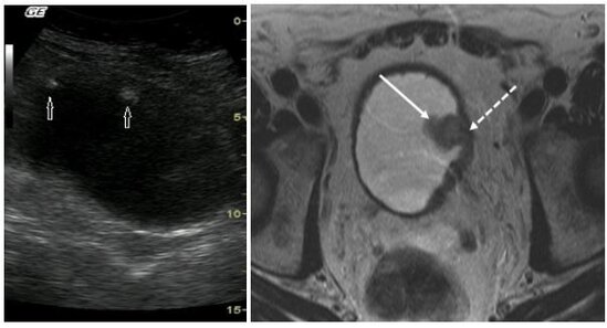
Tunisdə 45 yaşlı qadının sidik kisəsindən nəhəng yad cisim çıxarılıb.
Bakupost.az xəbər verir ki, Tunisin Sfaks şəhərində 45 yaşlı qadın təcili yardımla xəstəxanaya sidik kisəsində dəhşətli ağrılar və infeksiya şikayəti ilə qəbul edilib.
Uroloqlar onun sidik kisəsində böyük yad cisim aşkarlayırlar. Əməliyyat zamanı çıxarılan yad cisimin tamamilə kristallaşmış stəkan olduğu görülüb.
Bu hadisə tibdə nadir klinik fakt idi.
Qadın etiraf edib ki, 4 il əvvəl mastubasiya zamanı stəkanı bilmədən sidik yoluna daxil edib və çıxara bilməyib. Sonradan həkimə getməyə utanıb.
4 il ərzində qadında ancaq tez-tez tualetə getmək şikayətləri olub.
Bu müddətdə stəkanın ətrafında 8 sm diametrində minerallaşmış daş yaranıb.

Sonxeber.az
Telegramda izləyin
Dünyada Baxılıb: 2172 Tarix: 21 mart 2022
Şikayətiniz varsa Whatsapp: 077 7125666
Facebookda Paylaş
Paşinyan: "Biz xalqımızı cəhənnəmdən keçirmişik"
"Biz Ermənistan Respublikasını geosiyasi tələdən çıxardıq və onu sülh limanına çatdırdıq". xəbər verir ki, bunu Ermənistanın baş naziri Nikol Paşinyan Vətəndaş Müqaviləsi Partiyasının səkkizinci fövqəladə konfransında çıxışı zamanı bildirib. "Fəxr etməliyik, çünki bütün bunlar hər siyas
4 aprelƏraqçı: "İrana hücumlara reaksiyanın olmaması BAEA-ya inamı sarsıdır"
İranın xarici işlər naziri Abbas Əraqçı Beynəlxalq Atom Enerjisi Agentliyinin (BAEA) baş direktoru Rafael Qrossinin İrandakı nüvə obyektlərinə hücumlara lazımi reaksiya verməməsinin təşkilata inamı sarsıtdığını bildirib. bu barədə TASS-a istinadən xəbər verir. A.Əraqçı ABŞ və İsrailin, xüsusilə Buşəh
5 aprelAlmaniyada kişilər Bundesverin icazəsi olmadan xaricə gedə bilməyəcəklər
Almaniya hakimiyyəti 17-45 yaş arası kişilərin Bundesverin (Almaniya Silahlı Qüvvələri) Karyera Mərkəzinin icazəsi olmadan ölkə ərazisini üç aydan çox müddətə tərk etməsini qadağan edib. "Berliner Zeitung" nəşrinə istinadən xəbər verir ki, yeni qaydalar artıq qüvvəyə minib. Yeni qanunvericiliy
5 aprelİndoneziya BMT sülhməramlıları üçün təhlükəsizlik zəmanəti tələb edib
Rəsmi Cakarta Livanda İndoneziya əsgərlərinin öldürülməsindən sonra bütün BMT sülhməramlılarının təhlükəsizliyini tələb edib. "Report" xəbər verir ki, bu barədə İndoneziya xarici işlər naziri Sugiono danışıb. Nazir vurğulayıb ki, Livanda Birləşmiş Millətlər Təşkilatının Müvəqqəti Qüvvələrind
5 aprelİran İsrailin Ben-Qurion hava limanına hücum edib
İran silahlı qüvvələri İsrailin Ben-Qurion hava limanına hücum edib. "Report" İslam İnqilabı Keşikçiləri Korpusuna (SEPAH) istinadən xəbər verir ki, irimiqyaslı hücum bu gün səhər saatlarında pilotsuz uçuş aparatları (PUA) ilə həyata keçirilib. Bildirilib ki, yeni idarəedilmə qülləsi, 1 v
4 aprelKİV: Çin şirkətləri ABŞ Ordusunu hərəkətləri haqqında məlumatları satır
Yaxın Şərqdəki münaqişə fonunda Çin şirkətləri süni intellekt texnologiyalarından istifadə edərək ABŞ-nin hərbi birləşmələrinin hərəkətləri və silahları haqqında məlumatları satmağa başlayıblar. "Report"un məlumatına görə, bu barədə "The Washington Post" qəzeti xəbər verib. Məlumat
5 aprelCənubi Koreya Hörmüz boğazındakı vəziyyətdən narahatdır
Cənubi Koreyanın maliyyə naziri Ku Yun Çhol Hörmüz boğazı yaxınlığında enerji təhlükəsizliyini və Koreya gəmilərinin təhlükəsizliyini gücləndirmək üçün Körfəz ölkələrindən olan səfirlərlə görüşüb. "Report"un "Reuters" agentliyinə istinadən verdiyi məlumata görə, nazirlik bu barəd
5 aprelZelenski: Yaxın Şərqdə uzanan müharibə Ukraynaya dəstəyi zəiflədə bilər
Ukrayna Prezidenti Volodimir Zelenski ABŞ və İsrailin İrana qarşı uzanan müharibəsinin Vaşinqton tərəfindən Kiyevə dəstəyin zəifləməsinə səbəb ola biləcəyindən narahatlığını ifadə edib. "Report" xəbər verir ki, Zelenski bu barədə "The Associated Press" agentliyinə açıqlamasında bildirib
5 aprel