3 yaşlı uşağın boğazından 19 maqnit çıxarıldı
Türkiyədə 3 yaşlı uşağın boğazından 19 ədəd maqnit çıxarılıb.
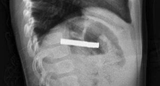
Ölkə.az xəbər verir ki, Ərzurumda uşaq evdə tapılan 19 maqniti udub.
Vəziyyəti pisləşəndən sonra ailə xəstəxana ilə əlaqə saxlayıb.
Uşaq daha sonra Elazığa köçürülüb.
Fırat Universitetinin Uşaq Qastroenterologiyası, Hepatologiya və Qidalanma kafedrasının müdiri Prof.Dr.Yaşar Doğan endoskopik üsulla uşağın qida borusuna ilişib qalmış 19 maqniti çıxarıb.
Maqnitlər uzun müddət qida borusunda ilişib qalıb, yemək borusu və mədə girişində zədələr yaranıb.
Uşağın səhhətinin yaxşı olduğu və evə buraxıldığı öyrənilib.(medicina)


Sonxeber.az
Telegramda izləyin
Dünyada Baxılıb: 486 Tarix: 13 oktyabr 2025
Şikayətiniz varsa Whatsapp: 077 7125666
Facebookda Paylaş
Yaponiya HDQ mina təmizliyi üçün Hörmüz boğazına göndərilə bilər
Yaponiya hökuməti İran tərəfindən minalanmış Hörmüz boğazının minalardan təmizlənməsi üzrə əməliyyatların keçirilməsi üçün Milli Özünümüdafiə Qüvvələrinin cəlb edilməsi ssenarisini istisna etmir. "Report" xəbər verir ki, bu barədə "Fuji TV"nin efirində Yaponiyanın xarici işlər nazir
22 martİqlim dəyişikliyi dünyada xəstəliklərin yayılmasını artırır
İqlim dəyişikliyi artıq təhlükəli xəstəliklərin yayılmasına təsir göstərir. Bir araşdırma fırtına və isti havanın denqe qızdırması üçün şərait yaratdığını göstərib. İqlim dəyişikliyinin yaratdığı ekstremal hava hadisələri yoluxucu xəstəliklərin yayılmasını əhəmiyyətli dərəcədə artıra bilər. -ın xaric
22 martİran atəşkəsi qəbul etmir
İran atəşkəsi qəbul etmir və ABŞ-la danışıqları məntiqsiz hesab edir. xəbər verir ki, bu barədə "Fars" agentliyi İran hökumətindəki mənbəyə istinadla məlumat yayıb. "Strateji məqsədlərə nail olunarsa, atəşkəs mümkün olacaq", - məlumatda qeyd olunub
25 martDanışıqların gecikməsinə səbəb olan texniki problem nə ilə bağlıdır?
İsrail Baş naziri Benyamin Netanyahu ilə Ukrayna Prezidenti Vladimir Zelenski arasında danışıq hələlik texniki səbəblərə görə baş tutmayıb. xəbər verir ki, bunu İsrailin Ukraynadakı səfiri Mixail Brodski deyib. "Ümid edirəm ki, bu, yaxın günlərdə baş tutacaq. Dəqiq mövzunu bilmirəm. Danışıqlar üçü
25 martAlmaniyada bütün apteklər BAĞLANACAQ
Martın 23-də ümummilli tətil ilə əlaqədar olaraq Almaniyanın bütün ərazisində apteklər fəaliyyətini dayandıracaq. Bu barədə yerli "Bild" qəzeti yazıb. Məlumata görə, etiraz aksiyasında ümumilikdə 160 mindən çox insan iştirak edəcək. Nəşr vurğulayıb ki, aptek müəssisələrinin əməkdaşları "xronik
22 martNetanyahu: "Digər ölkələrin liderlərinin bizə qoşulma vaxtı çatıb"
İsrailin Baş naziri Benyamin Netanyahu ABŞ və İsrailin İrana qarşı hərbi əməliyyatına yeni ölkələrin qoşulacağına ümid etdiyini bildirib. bu barədə "The Times of Israel" nəşrinə istinadən xəbər verir. "Digər ölkələrin liderlərinin bizə qoşulma vaxtı çatıb", - deyə o vurğulayıb. B.Netanyahunu
22 martİran rialı ABŞ ilə müharibə başlayandan bəri ilk dəfə bahalaşıb
İranın milli valyutası rial ABŞ-nin İran neftinin satışına qismən icazə verməsindən sonra bahalaşıb. xəbər verir ki, bu barədə "The Wall Street Journal" məlumat yayıb. Məlumata görə, rialın dollar qarşısında məzənnəsi 6.7 faiz artaraq 1 dollar üçün 1.559 milyon rial səviyyəsinə yüksəlib. Nəş
22 martNyu-Yorkda təyyarə qəzaya düşdü, hava limanı bağlandı
Nyu-Yorkun La-Guardia hava limanında sərnişin təyyarəsi ilə yanğınsöndürən maşın toqquşub. "Qafqazinfo" "New York Post"a istinadən xəbər verir ki, hadisə nəticəsində 4 yanğınsöndürən ağır yaralanıb. İnsident "Air Canada" şirkətinə məxsus təyyarənin yerə enməsindən bir qədə
23 martFloridanın məşhur küçəsində Azərbaycan bayrağı ucaldıldı
ABŞ-nin Florida ştatının Koral Qeybls şəhərinin məşhur və nüfuzlu küçələrindən olan Mirakl Mile və Ponce de Leon Bulvarında Azərbaycan bayrağı ucaldılıb. xəbər verir ki, iki məşhur küçənin kəsişməsində yerləşən, müxtəlif ölkələrin bayraqlarının nümayiş olunduğu dirəklərə Azərbaycan bayrağı da əlavə olunub
25 mart