Diş itkisi ölüm riskini artıra bilər -ARAŞDIRMA

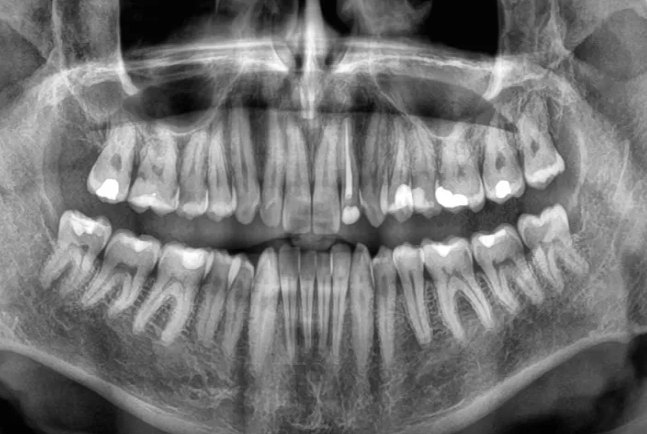
Diş itkisi ölüm riskini artıra bilər -ARAŞDIRMAYeni bir araşdırma göstərib ki, yaşlı insanlarda dişlərin sürətlə itirilməsi ölüm riskinin artması ilə əlaqəlidir. Çinli alimlər 3,5 il ərzində 8073 yaşlı insanı izləyərək belə nəticəyə gəliblər.

Lent.az "sciencealert.com" portalına istinadla xəbər verir ki, tədqiqatın nəticələrinə görə, dişlərin itirilmə sürəti nə qədər yüksəkdirsə, bütün səbəblərdən ölüm riski də bir o qədər artır. Bu əlaqə yaş, cins, təhsil, içki və məşq vərdişləri kimi digər amillər nəzərə alındıqdan sonra da qalır. Mütəxəssislər bildirirlər ki, dişlərin itirilməsi birbaşa ölümə səbəb olmur, lakin diş itkisinə yol açan sağlamlıq problemləri, məsələn, iltihab, pis qidalanma və ürək xəstəlikləri ömrü qısalda bilər. Alimlər diş itkisinin insanın ümumi sağlamlıq vəziyyətini qiymətləndirmək üçün göstərici kimi istifadə oluna biləcəyini vurğulayırlar. Həkimlər dişlərin qorunması üçün müntəzəm diş həkimi müayinəsini, gündə iki dəfə fırçalamağı və siqaretdən uzaq durmağı tövsiyə edirlər.

Araşdırma "BMC Geriatrics" jurnalında dərc olunub.


Sonxeber.az
Telegramda izləyin
Sağlamlıq   Baxılıb: 565   Tarix: 26 oktyabr 2025  

Şikayətiniz varsa Whatsapp: 077 7125666

Facebookda Paylaş


Oxşar xəbərlər

.

Fəsil dəyişərkən sağlamlığı qorumaq üçün nələrə diqqət edilməlidir?

Fəsil dəyişiklikləri zamanı hava temperaturunun kəskin dəyişməsi insan sağlamlığına təsir göstərə bilər. Mütəxəssislər bu dövrdə immun sistemini qorumaq və müxtəlif xəstəliklərin qarşısını almaq üçün bəzi qaydalara əməl etməyi tövsiyə edirlər. xəbər verir ki, həkimlərin sözlərinə görə, ilk növbədə geyi

11 mart
.

Qışdan çıxan bədəndə nə çatışmır? - Orqanizmin gizli siqnalları

Qış aylarından sonra bir çox insan özündə yorğunluq, halsızlıq, saç tökülməsi və immun zəifliyi hiss edir. xəbər verir ki, bunun səbəbi sadəcə mövsüm dəyişməsi deyil - orqanizmdə yaranan vitamin və mineral çatışmazlığıdır. Bəs qışdan sonra bədəndə ən çox nə çatışmır?. 1. D vitamini - Günəş vitamini

20 mart
.

Səhərlər iştahasızlığın əsas səbəbləri - Mütəxəssis rəyi

"Səhər oyanandan sonra aclıq hissinin olmaması çox vaxt orqanizmin fərdi xüsusiyyətləri ilə deyil, yanlış qidalanma rejimi və gec yemək qəbulu ilə bağlıdır". xəbər verir ki, bunu -ya rusiyalı məşqçi-nutrisioloq Olqa Yablokova bildirib. Mütəxəssisin sözlərinə görə, yemək yuxudan az əvvəl qəbu

21 mart
.

Hər il 7 milyon insan bu səbəbdən vaxtından əvvəl ölür

Beynəlxalq araşdırmalar göstərir ki, hava çirkliliyi qlobal səviyyədə insan sağlamlığı üçün ən böyük təhlükələrdən birinə çevrilib. xəbər verir ki, mütəxəssislərin fikrincə, çirkli hava artıq təkcə ətraf mühit problemi deyil, həm də ciddi sağlamlıq riskidir. Aparılan tədqiqatlara görə, havadakı zərərl

11 mart
.

Nə qədər çiy soğan yemək olar? - Qastroenteroloqdan XƏBƏRDARLIQ

Çiy soğan faydalı, eyni zamanda ehtiyatla istifadə olunmalı qidalardan biridir. O, immun sistemini gücləndirə bilər, lakin həddindən artıq qəbul edildikdə ciddi narahatlığa da səbəb ola bilər. Qastroenteroloqlar soğanın həzm sisteminə təsirini uzun müddətdir araşdırırlar. Mütəxəssislərin fikrincə, b

13 mart
.

Dərini qırışdıran xətalar: Heç vaxt belə yatmayın

Dəriniz hər gecə 8 saat yerin cazibə qüvvəsi ilə mübarizə aparır. Üzünüzdəki "mexaniki təzyiq" əlamətlərini silmək və vaxta meydan oxumaq üçün yuxu vərdişlərinizi dəyişdirin. Ölkə.Az xəbər verir ki, yuxu rejiminizi gənclik iksirinə çevirmək sizin əlinizdədir:. Dəri mütəxəssisləri bildirirlə

18 mart
.

Sağlamlığı yaxşılaşdıran beş qidalanma vərdişi

"Beş qidalanma vərdişinə yiyələnməklə sağlamlığı əhəmiyyətli dərəcədə yaxşılaşdırmaq mümkündür". -ın xəbərinə görə, bu barədə rusiyalı qastroenteroloq Olqa Suxareva öz "Telegram" kanalında danışıb. Olqa Suxareva ilk olaraq hər qida qəbulu zamanı tərəvəz yeməyi tövsiyə edib. İkincisi

14 mart
.

Gecə yemək yeyənlərin nəzərinə - Bu xəstəliyə səbəb olur

Reflüks xəstəliyi son illərdə getdikcə daha geniş yayılıb. xəbər verir ki, türkiyəli həkim Mehmet Yalnız bildirib ki, hazırda hər 5 nəfərdən birində bu xəstəliyə rast gəlinir və bu vəziyyət birbaşa həyat tərzi ilə əlaqəlidir. Qeyd edib ki, reflüksün artmasında siqaret istifadəsi, alkoqol qəbulu, qər

15 mart
.

Dənizlərin altında gənclik iksiri: İnsan ömrü 200 ilə qədər uzana bilər

Rochester Universitetinin alimləri Qrenlandiya balinalarının 200 ili aşan ömürlərinin genetik səbəblərini kəşf ediblər. Bu nəhəng məməlilərdəki xüsusi bir zülalın (protein) DNA bərpasını sürətləndirdiyi və beləliklə, insanlarda xərçəng və yaşlanma ilə bağlı xəstəliklərin qarşısını ala biləcəyi bildirilir

21 mart