Maraqlı xəbərlər
Hansı vərdiş telefonun batareyasını öldürür?
Telefonunuzun batareyasına bir çox amillər təsir edir, lakin onu yavaş-yavaş öldürə biləcək bir vərdiş var. . xəbər verir ki, istifadəçilərin bəziləri belə hərəkətləri ilə batareyaya ciddi ziyan vurduqlarının fərqinə varmadan batareyanı daim sıfır faizə boşaldır. Hər bir cihaz batareyasının müəyyə
11 aprel 2024
Heç kimin getmədiyi QORXUNC ADA
Əslində, dünyada bir neçə olduqca təhlükəli ada var ki, həmin yerlərə səyahət etmək qadağandır. Çox vaxt bu, yalnız təhlükəsizlik ilə deyil, həm də qanunvericilik səviyyəsində öz əksini tapır. xarici mətbuata istinadən xəbər verir ki, ilanların insan həyatı üçün təhlükə olduğunu bilirsiniz. Ancaq bəz
11 aprel 2024
İkinci əl avtomobil alarkən nələrə diqqət etmək lazımdır? - VİDEO
İkinci əl avtomobil satan şəxslər nəqliyyat vasitəsinin problemini ört-basdır etmək üçün min bir üsula əl atırlar. -ın məlumatına görə, avtomobil ustası Sahil Ağabəyli deyir ki, belə faktlarla demək olar, hər gün rastlaşır. Avtomobilin yürüşü çox olduğundan bəzən satıcılar maşının kilometrajını da ger
7 aprel 2024
"WhatsApp"da MÖHTƏŞƏM YENİLİK: Bundan sonra...
"WhatsApp" messenceri istifadəçilər üçün yeni funksiyanı təqdim etməyə hazırlaşır. Yenilik "WhatsApp" status yeniləməsinin bildiriş funksiyasıdır. Məlumata görə, yenilik Android 2.24.6.19 beta versiyasında sınaqdan keçirilməyə başlanılıb. "WhatsApp" status yeniləmələri üçü
7 aprel 2024
2024-cü ilin ilk Günəş tutulması hansı gün olacaq?
2024-cü ilin ilk tam Günəş tutulması aprelin 8-də olacaq və ABŞ-nin 13 ştatında yüzlərlə şəhər və kiçik qəsəbədən görünəcək. Tutulma Meksika, ABŞ və Kanadanın bəzi bölgələrində təxminən 186 kilometr enində bir traektoriya üzrə keçəcək. Günəş tutulmasına şahid olmaq istəyən çox sayda insan tutulmanı
7 aprel 2024
Bazarlarda durğunluq: Çilçıraq erası başa çatır? - REPORTAJ
Əvvəllər əsasən, cehiz bazarlığında çilçıraqlar önəmli əşyalardan hesab olunurdu. Hamı ən yaxşısını, ən keyfiyyətlisini almağa çalışırdı. İndi vəziyyət dəyişib. LED işıqların meydana çıxması ilə çilçıraqlar bir çox insanlar tərəfindən keçmişin yadigarları hesab edilir. Çilçıraq deyəndə ilk olaraq məşhu
7 aprel 2024
Ölməzdən 1 ay əvvəl hər kəsin gördüyü yuxular
Los-Angeles hospitalının tibb bacısı Culie Fadden insanların ölməzdən əvvəl nə gördükləri ilə bağlı mühüm müşahidələrini paylaşın. O qeyd edib ki, "demək olar ki, bütün insanlar" ölməzdən təxminən bir ay əvvəl təsəlliverici görüntülər yaşayırlar. xəbər verir ki, o, müşahidələrini "TikTok"
7 aprel 2024
Hər gün içdiyimiz çay XƏRÇƏNG YARADIR - Bu səhvi etməyin
Çay Azərbaycan mədəniyyətinin ayrılmaz hissəsidir. Ölkəmizdə adətən armudu stəkanda içilən bu içki süfrəyə şirniyyat, çərəz və limonla birlikdə verilir. Hətta susuzlayıb-susuzlamamasından asılı olmayaraq, qonaq qarşısına çay qoyulur. Bu, qonağa hörmətin əlaməti sayılır. Bundan başqa, çay ürək sağlamlığ
7 aprel 2024
12 yaşında uşaqları ofis işçilərinə çevirən "texnologiya": Həkimdən XƏBƏRDARLIQ
"İki yaşında planşet istifadə etməyə başlayan uşaq on iki yaşında bel və boyun disk yırtığı ilə qarşılaşa bilər". Bu barədə türkiyəli fizioterapevt Mehmet Toprak bildirib. Onun sözlərinə görə, sözügedən şikayətlərlə tibb müəssisələrinə müraciət edənlərin sayı günü-gündən artır. Mütəxəssis bildiri
7 aprel 2024
Təyyarənin bütün pilotları uçuş zamanı yatdı - qeyri-adi hadisənin TƏFƏRRÜATLARI
Hər iki pilot gözlənilmədən 153 sərnişini daşıyan təyyarənin idarəetmə panellərində yuxuya gedib. -ın xarici mediaya istinadla xəbərinə görə, təyyarə planlaşdırılan marşrutdan yayınmağa başlayanda yer nəzarətçiləri ekipajla əlaqəni bərpa etmək üçün xeyli səy sərf etdilər. Araşdırma ilə müəyyən edili
7 aprel 2024
Süni intellektdən "Maşa və Ayı" animasiyası ilə bağlı şokedici CAVAB
Rusiyanın "Yandex" şirkətinə məxsus "Alisa" virtual səs assistenti artıq istifadəçilərə "Maşa və Ayı" cizgi filmində qəhrəmanın əslində öldürülmüş qızın ruhu olduğunu demir. Bu barədə "Yandex" şirkətindən xəbər verilib. Bildirilib ki, bu, tək-tük belə hadisələrdəndi
7 aprel 2024
Bakıda məktəbli qızın hərəkəti gündəm oldu - gözübağlı... - VİDEO
Bakıda orta məktəb şagirdi olan Ayan Həsənovanın gözübağlı performansı gümdəm oluib. xəbər verir ki, məktəbli avtomatı 10 saniyə içərisində sökməyi bacarıb. Görüntüləri "Unikal" Teleqram kanalı paylaşıb. Həmin görüntüləri təqdim edirik:
7 aprel 2024
Bəşəriyyət 2029-cu ildə sutkadan bir əlavə saniyəni çıxarmalı olacaq
ABŞ-li geofizik Dunkan Eqnyu sübut edib ki, Yerin nüvəsinin fırlanmasının yavaşlaması, Antarktika və Qrenlandiya buzlaqlarının əriməsi səbəbindən 2029-cu ildə bəşəriyyət günün davamlılığını 30 iyun və ya 31 dekabrda bir saniyə artırmaq əvəzinə, qısaltmalı olacaq. "1972-ci ildən bəri UTC (Koordinasiy
7 aprel 2024
Nübarlıq alça çıxdı: qiyməti təəccübləndirdi
Bir neçə gündür nübarlıq alça və çiyələk artıq bazar və dükanlarda satışa çıxıb. Sonxeber -a istinadən xəbər verir ki, istixanada yetişdirilən alçanın 4 ədədinin qiyməti 10 manatdır. Yəni bir kiçik alça 2,5 manat. Gilasın isə kilosu 10 manatdan başlayır
7 aprel 2024
Alimlərdən aprelin 8-də müşahidə olunacaq Günəş tutulması ilə bağlı AÇIQLAMA
ABŞ alimləri Şimali amerikalıların aprelin 8-də müşahidə edə biləcəkləri tam tutulma zamanı Günəş tacını araşdırmaq niyyətindədirlər. NASA rəsmiləri ulduzun səthində aktivliyin 11 illik pik həddinə yaxınlaşdığı bir vaxtda elektromaqnit şüalanma haqqında məlumat əldə etməyi gözləyirlər. NASA administratorunu
7 aprel 2024
Avstriya TƏHLÜKƏDƏ: Növbəti 45 il ərzində...
Avstriyadakı Alp buzlaqları 45 ildən sonra tamamilə əriyə bilər. Bu barədə Avstriyanın Alp Klubunun ekspertləri bildiriblər. Mütəxəssislərin hesablamalarına görə, 2023-cü ildə Avstriyanın 93 buzlağı orta hesabla 24 metr kiçilib. Eyni zamanda, Pasterze buzlağı 203,5 metr, Rettenbachfernenr isə 127 met
6 aprel 2024
Avtomobilin paslanmasına səbəb olan SƏHVLƏR
Gec-tez bütün avtomobillər paslanmağa başlayır. Mütəxəssislər avtomobil sahiblərinin maşında korroziyaya səbəb olan bir neçə ciddi səhvlərinin adını çəkiblər. xəbər verir ki, motoristlər tez-tez satın alındıqdan dərhal sonra korroziyaya qarşı mübarizə aparmağa çalışarkən səhv edirlər. Bütün sahiblə
6 aprel 2024
Anasını və qardaşını öldürən QƏDDAR HÖKMDAR
Roma imperatoru Neron Qay Yuli Sezarın nəslindən olan və Romanı idarə edən sonuncu hökmdar sayılır. 13 il 8 ay hakimiyyətdə olan Neron öz qəddarlığı, kütləvi edamları və ailə üzvlərini öldürmək barədə göstəriş verməsi ilə yadda qalıb. Bundan başqa, onun incəsənətə böyük marağı olub. Neron teatr səhnəsind
6 aprel 2024
Suyun şüşələrə doldurulması üsulu insanları TƏƏCCÜBLƏNDİRDİ - VİDEO
Şüşələnmiş suyun daşınmasının asanlığı və onun güman edilən faydaları, istehsalının təfərrüatları məlum olduqdan sonra çoxlarını istifadədən çəkindirdi. xəbər verir ki, bu barədə "Mashed" "YouTube" kanalında məlumat verilib. Planetdə hər gün tullantıların miqdarını artıran və 60 milyo
6 aprel 2024
"Windows 10" ödənişli olacaq – Qiyməti açıqlandı
"Microsoft" şirkəti 2025-ci ilin oktyabrında "Windows 10"un dəstəyini dayandıracaq. xəbər verir ki, "Windows 10"un ömrü 2025-ci ilin oktyabrında başa çatır. Adi insanlar artıq təhlükəsizlik yamaları almayacaq və yeni OS-yə keçmək məcburiyyətində qalacaqlar. Korporativ müştərilə
6 aprel 2024
Bu yumurtalar dünyanı cənginə alır: HƏYƏCAN TƏBİLİ - VİDEO
Toyuq yumurtalarının qiymətlərinin daha da artması fonunda süni yumurtalar qlobal bazarları tutmaqda davam edir. Artıq Meksika bazarında da süni (saxta) yumurtalar görünməyə başlayıb. Oradan isə bu ərzaqlar ABŞ bazarlarına aparılır. Qeyd edək ki, Birləşmiş Ştatlarda quş qripi ilə əlaqədar ev quşlarını
6 aprel 2024
İlon Maskdan avqust müjdəsi: "Yeni taksilər gəlir"
Amerikalı milyarder İlon Mask avqustun 8-də "Tesla" elektromobili əsasında hazırlanmış robotaksi təqdim etməyi planlaşdırır. Bu barədə, "Tesla" avtomobil istehsalçısının sahibi özünün "X" sosial şəbəkə hesabında xəbər verib. Biznesmen bir neçə ildir ki, layihə haqqında danışır
6 aprel 2024
6 milyon dollarlıq qızıl unitaz oğurladı
39 yaşlı Ceyms Şin Uinston Çörçilin doğulduğu evdən tamamilə 18 karatlıq qızıldan hazırlanmış və dəyəri 6 milyon dollardan çox olan unitazı oğurladığını etiraf edib. -ın xarici mediaya istinadən xəbərinə görə, qızıl unitaz 2019-cu ildə italyan rəssamı Mauritsio Kattelanın "Qələbə seçim deyil"
6 aprel 2024
Psixopatlar bu mahnını dinləyir -VİDEO
Britaniyalı psixoloq və yazar Kevin Daton psixopatların davranış tərzini araşdırarkən onların əsasən rep musiqisini dinləməsi qənaətinə gəlib. -ın xarici mediaya istinadən xəbərinə görə, o, psixi xəstəliyi olan adamların əsasən məşhur müğənni Eminemi dinlədiklərini bildirib. Eminemin məşhur "Yo
5 aprel 2024
NASA Ayda bu sistemi yaradacaq
ğ Ev NASA-nın Ayda vaxtın necə təyin ediləcəyini öyrənməsini istəyir. xəbər verir ki, ABŞ-nin Elm və Texnologiya Siyasəti İdarəsinin (OSTP) rəhbəri tərəfindən göndərilən sənəddə kosmos agentliyindən Ayda vaxtın hesablanması sistemini hazırlamaq üçün digər ABŞ və beynəlxalq agentliklərlə işləmək xahi
5 aprel 2024
NASA-ya tapşırıq: - Ayda saat neçədir?
Ağ Ev NASA-nın Ayda vaxtı necə təyin edəcəyini tapmasını istəyir. "Qafqazinfo" xəbər verir ki, bu barədə "Reuters" məlumat yayıb. Belə ki, NASA-ya ABŞ-nin Elm və Texnologiya Siyasəti İdarəsinin (OSTP) rəhbəri memorandum göndərib. Bildirilib ki, kosmik agentlik 2026-cı ilin sonun
4 aprel 2024
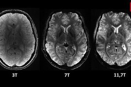
İnsan beyninin ən aydın görüntüsü dərc olunub - VİDEO
Elm adamları insan beyninin ən aydın görüntüsünü dərc ediblər. Şəkli dünyanın ən güclü maqnit rezonans tomoqrafiya (MRT) cihazı ilə əldə etmək mümkün olub. Fotonu Fransa Atom Enerjisi və Alternativ Enerji Agentliyi (CEA) yayımlayıb. Bildirilib ki, "Iseult" adlı MRT cihazı ilə çəkilən şəki
4 aprel 2024
Süni intellekt vasitəsilə ölən anası ilə söhbət etdi
Texnologiya inanılmaz sürətlə inkişaf etməyə davam etsə də, süni intellektin imkanlarının hədləri yaxşı məlum deyil. xarici mediaya istinadla xəbər verir ki, bir istifadəçi mərhum anası ilə süni intellektdən istifadə edərək əlaqə saxlasa da, nəticələr onun gözlədiyi kimi olmayıb. Texnologiya ilə inkişa
4 aprel 2024
Bu tarixdə Günəş tutulması baş verəcək
Aprelin 8-də Şimali Amerikanın bəzi hissələrindən görünəcək tam Günəş tutulması baş verəcək. Tam Günəş tutulmasının müddəti onu müşahidə etdiyiniz yerdən asılı olacaq. Ölkə.Az xəbər verir ki, təbiət hadisəsi ümumilikdə 3 saat 16 dəqiqə 45 saniyə davam edəcək. Bu, yalnız Şimali Amerikada 185 km eni ola
4 aprel 2024
ABŞ hakimiyyəti "YouTube"dan istifadəçi məlumatlarını açıqlamağı tələb edib
ABŞ federal müstəntiqləri "Google"dan "YouTube" platformasında müəyyən videolara baxan bütün istifadəçilər haqqında məlumat verməsini tələb ediblər. Bildirilib ki, hüquq-mühafizə orqanları Kentukki və Nyu-Hempşir ştatlarında "YouTube" istifadəçilərinin kimliyini öyrənməy
31 mart 2024
Əhaliyə XƏBƏRDARLIQ - Hər şey gözlənilə bilər
Zibilə atmaq üçün götürdüyü kargo paketindən 60 min dollar çıxdı - VİDEO
Azərbaycanda kimlər 13-cü maaş alır? - Hamını maraqlandıran açıqlama
Azərbaycanda əməkhaqqı ayda iki dəfə veriləcək - Yeni qanun
Azərbaycanda bu şəxslərin əməkhaqları artırılacaq - RƏSMİ
Bu kənddə hər kəs kor doğulur - FOTO
"Pulu alandan sonra dedi ki, böyrəyimi vermirəm" - Bakıda maraqlı hadisə
Temperatur 7 dərəcə enəcək - Xəbərdarlıq
Bazardan oğurluq edən uşağı iplə bağladılar - VİDEO
Yaponların saç yuma sirri - Mükəmməl qulluğun əsası
Vitse-prezident Heydər Əliyevin anım günü ilə bağlı paylaşım etdi - Foto
Xəstəliyə görə bağlanan Bərdə heyvan bazarı açılır - Video
Generalın oğlu və komitənin daha iki əməkdaşı həbs olundu (YENİLƏNİB)
Operada yaş qalmaqalı: "Leyli"dən narazılara cavab
Son istifadə tarixi keçmiş məhsullara yeni etiket vurarkən yaxalandılar - VİDEO
